Five things to know about tuberculosis as it surfaces in Maine and North Carolina. Who is at risk?

Key Takeaways

  • One of the world’s most deadly infectious diseases, tuberculosis requires months of treatment

By Cynthia McCormick Hibbert

Tuberculosis, one of the world’s most deadly infectious diseases, has been reported in a handful of cases in MaineNorth Carolina and California in recent weeks.

Less transmissible than other respiratory illnesses such as the flu and COVID-19, tuberculosis is curable with up to nine months of antibiotic treatment for active cases.

Northeastern University infectious disease and global health experts Brandon DionneLarry Han and Tamara Jimah explain what causes tuberculosis, how it spreads and why it requires months of medication to fully eradicate it. 

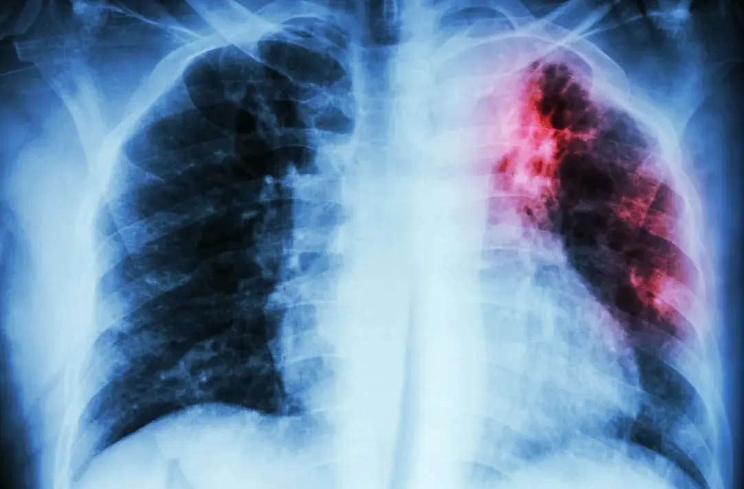
What is tuberculosis?

Once believed to be an inherited disease, tuberculosis, also known as TB,  is a bacterial disease caused by Mycobacterium tuberculosis.

“The name for tuberculosis actually comes from tubercles,” small lesions in the lungs caused by the disease, says Dionne, associate clinical professor in pharmacy and health systems science.

“It can start to destroy lung tissue,” he says. “When most people die of tuberculosis, it’s actually from tissue deterioration and respiratory failure.”

Continue reading at Northeastern Global News.